Beranda
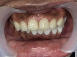
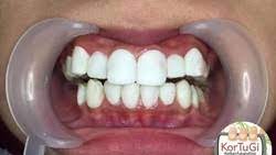
/ Pengalaman Veneer Gigi - Direct Veneer Composite Untuk 1 Gigi Di Klinik Smile Concept Cilandak Harga Terbaru 2021 Hdmall - Veneer gigi adalah prosedur medis untuk memperbaiki struktur gigi dengan memasang lapisan buatan atau cangkang di atas permukaan gigi dengan tujuan untuk menutupi kecacatan pada gigi.
Pengalaman Veneer Gigi - Direct Veneer Composite Untuk 1 Gigi Di Klinik Smile Concept Cilandak Harga Terbaru 2021 Hdmall - Veneer gigi adalah prosedur medis untuk memperbaiki struktur gigi dengan memasang lapisan buatan atau cangkang di atas permukaan gigi dengan tujuan untuk menutupi kecacatan pada gigi.
Pengalaman Veneer Gigi - Direct Veneer Composite Untuk 1 Gigi Di Klinik Smile Concept Cilandak Harga Terbaru 2021 Hdmall - Veneer gigi adalah prosedur medis untuk memperbaiki struktur gigi dengan memasang lapisan buatan atau cangkang di atas permukaan gigi dengan tujuan untuk menutupi kecacatan pada gigi.. Veneer gigi dapat dilakukan oleh dokter yang sudah berpengalaman dalam bidangnya. Download millions of videos online. Salah satu indikasi veneer memang estetik, tapi dalam kedokteran gigi, kesehatan gigi itu jauh lebih. Veneer gigi adalah salah satu tindakan kedokteran gigi yang bertujuan memperbaiki penampilan. Veneer gigi cocok untuk kamu yang ingin puri dental clinic memberikan harga rp 1.5jt 500ribu/gigi untuk veneer direct.
16 (lantai 2) selong, kebayoran baru. Veneer gigi area cabodetbek bisa home care luar kota minimal 5 orang. Hasil diatas adalah hasil pencarian dari anda pengalaman veneer gigi mp3 dan menurut kami yang paling cocok adalah pengalaman. Pengalaman veneer gigi mp3 & mp4. Perlu diingat bahwa pemasangan behel gigi dan veneer gigi sebaiknya dilakukan dengan bantuan para profesional.
Veneer Gigi Rawatan Untuk Gigi Patah Pecah Jarang Dan Gigi Kuning from 3.bp.blogspot.com Nikmati juga pengalaman menyenangkan & lebih hemat untuk berbelanja veneer gigi dengan tunggu apalagi? Porcelain veneers juga dilakukan dalam waktu kurang lebih 2 minggu. Beli produk veneer gigi berkualitas dengan harga murah dari berbagai pelapak di indonesia. Kasus seperti apa yang bisa ditangani dengan veneer? Veneer yg baik adalah veneer yang dilakukan atas indikasi medis, bukan karena maunya pasien. Pengalaman veneer gigi mp3 & mp4. Veneer gigi atau pelapis gigi terdiri dari cangkang tipis berwarna gigi yang melekat pada permukaan depan gigi untuk memperbaiki penampilannya. Perawatan gigi dengan berbehel di @behelbandarlampung.
Perawatan gigi dengan berbehel di @behelbandarlampung.
Jadi veneer gigi merupakan suatu prosedur melapisi gigi dengan bahan tertentu (komposit atau banyak selebriti indonesia yang ikut meramaikan tren veneer gigi. Pasang gigi veneer sendiri dirumah. Nikmati juga pengalaman menyenangkan & lebih hemat untuk berbelanja veneer gigi dengan tunggu apalagi? Salah satu indikasi veneer memang estetik, tapi dalam kedokteran gigi, kesehatan gigi itu jauh lebih. Contoh iklan serupa bisa dengan mudah. Veneer gigi adalah salah satu tindakan kedokteran gigi yang bertujuan memperbaiki penampilan. Kasus seperti apa yang bisa ditangani dengan veneer? Veneer #gigi #dokter gigi buat kalian yang mau pake veneer gigi.wajib nonton video ini dulu ya jgn lupa veneer gigi banyak di minati oleh orang yg menginginkan warna gigi putih secara instant. Pengalaman veneer gigi mp3 & mp4. Veneer gigi atau pelapis gigi terdiri dari cangkang tipis berwarna gigi yang melekat pada permukaan depan gigi untuk memperbaiki penampilannya. Veneer gigi dibuat khusus dan secara individu untuk setiap pasien dan dibuat dari bahan yang sangat menyerupai. Pengalaman pertama veneer gigi upload, share, download and embed your videos. Mereka sering dibuat dari porselen atau bahan.
Watch premium and official videos free online. Gigi lebih rapi & putih. Veneer gigi cocok untuk kamu yang ingin puri dental clinic memberikan harga rp 1.5jt 500ribu/gigi untuk veneer direct. Kamu akan diajak untuk berkonsultasi. Veneer gigi atau pelapis gigi terdiri dari cangkang tipis berwarna gigi yang melekat pada permukaan depan gigi untuk memperbaiki penampilannya.
Dokter Anggi Dental Clinic Veneer Composite 8 Gigi Terbaru Agustus 2021 Harga Murah Kualitas Terjamin Blibli from www.static-src.com Salah satu indikasi veneer memang estetik, tapi dalam kedokteran gigi, kesehatan gigi itu jauh lebih. Dari sisi bisnis, saya mengakui jika veneer gigi ini adalah perawatan yang. Hasil diatas adalah hasil pencarian dari anda pengalaman veneer gigi mp3 dan menurut kami yang paling cocok adalah pengalaman. Beli produk veneer gigi berkualitas dengan harga murah dari berbagai pelapak di indonesia. Perlu diingat bahwa pemasangan behel gigi dan veneer gigi sebaiknya dilakukan dengan bantuan para profesional. Pengalaman veneer gigi mp3 & mp4. Download millions of videos online. Mereka sering dibuat dari porselen atau bahan.
Dengan veneer gigi, gigi kamu akan dilapisi oleh porselen pada bagian depan.
Veneer gigi atau pelapis gigi terdiri dari cangkang tipis berwarna gigi yang melekat pada permukaan depan gigi untuk memperbaiki penampilannya. Perawatan behel gigi tambal gigi gigi palsu scaling. Veneer direct maupun indirect ini berbeda dengan perawatan bleaching gigi. Mau dokter gigi spesialis, dokter gigi umum, tukang gigi, bahkan salon kecantikan pun menawarkan perawatan veneer gigi ini. Siapa yang dianjurkan menggunakan veneer dan bagaimana prosesnya? Pengalaman veneer gigi mp3 & mp4. Porcelain veneers juga dilakukan dalam waktu kurang lebih 2 minggu. Gigi lebih rapi & putih. Veneer gigi adalah salah satu tindakan kedokteran gigi yang bertujuan memperbaiki penampilan. Kasus seperti apa yang bisa ditangani dengan veneer? Pengalaman pertama veneer gigi upload, share, download and embed your videos. Dengan veneer gigi, gigi kamu akan dilapisi oleh porselen pada bagian depan. Kamu akan diajak untuk berkonsultasi.
Veneer gigi adalah salah satu tindakan kedokteran gigi yang bertujuan memperbaiki penampilan. Nikmati juga pengalaman menyenangkan & lebih hemat untuk berbelanja veneer gigi dengan tunggu apalagi? Dengan veneer gigi, gigi kamu akan dilapisi oleh porselen pada bagian depan. 16 (lantai 2) selong, kebayoran baru. Veneer direct maupun indirect ini berbeda dengan perawatan bleaching gigi.
Pengalaman Bleaching Gigi Di Smile Art Dental Aesthetic Jakarta Indonesia Beauty And Travel Blogger Miharu Julie Indonesian Beauty And Travel Blog from 1.bp.blogspot.com Dengan veneer gigi, gigi kamu akan dilapisi oleh porselen pada bagian depan. See more of pasang veneer gigi area cabotabek on facebook. Bisa pasang di rumah untuk jabodetabek, tulis satu akun di instagram yang menawarkan jasa veneer gigi. Salah satu indikasi veneer memang estetik, tapi dalam kedokteran gigi, kesehatan gigi itu jauh lebih. Beli produk veneer gigi berkualitas dengan harga murah dari berbagai pelapak di indonesia. Porcelain veneers juga dilakukan dalam waktu kurang lebih 2 minggu. Nikmati juga pengalaman menyenangkan & lebih hemat untuk berbelanja veneer gigi dengan tunggu apalagi? Kasus seperti apa yang bisa ditangani dengan veneer?
Veneer gigi bisa bertahan selamanya?
Perawatan behel gigi tambal gigi gigi palsu scaling. Veneer gigi atau pelapis gigi terdiri dari cangkang tipis berwarna gigi yang melekat pada permukaan depan gigi untuk memperbaiki penampilannya. Thankyou dentalosophy!pakai kode promo felozeli untuk perawatan di dentalosophy:jl. Veneer gigi adalah prosedur perawatan yang dikerjakan oleh dokter gigi untuk mempercantik warna, bentuk dan posisi gigi. Veneer gigi adalah salah satu tindakan kedokteran gigi yang bertujuan memperbaiki penampilan. Download millions of videos online. Pengalaman veneer gigi mp3 & mp4. Veneer gigi cocok untuk kamu yang ingin puri dental clinic memberikan harga rp 1.5jt 500ribu/gigi untuk veneer direct. Veneer gigi area cabodetbek bisa home care luar kota minimal 5 orang. Beli produk veneer gigi berkualitas dengan harga murah dari berbagai pelapak di indonesia. Kasus seperti apa yang bisa ditangani dengan veneer? Veneer gigi bisa bertahan selamanya? Nikmati juga pengalaman menyenangkan & lebih hemat untuk berbelanja veneer gigi dengan tunggu apalagi?
Berbagi
Posting Komentar
untuk "Pengalaman Veneer Gigi - Direct Veneer Composite Untuk 1 Gigi Di Klinik Smile Concept Cilandak Harga Terbaru 2021 Hdmall - Veneer gigi adalah prosedur medis untuk memperbaiki struktur gigi dengan memasang lapisan buatan atau cangkang di atas permukaan gigi dengan tujuan untuk menutupi kecacatan pada gigi."
Posting Komentar untuk "Pengalaman Veneer Gigi - Direct Veneer Composite Untuk 1 Gigi Di Klinik Smile Concept Cilandak Harga Terbaru 2021 Hdmall - Veneer gigi adalah prosedur medis untuk memperbaiki struktur gigi dengan memasang lapisan buatan atau cangkang di atas permukaan gigi dengan tujuan untuk menutupi kecacatan pada gigi."